bense视频成人,Bense视频深度解析 你有没有发现,最近网上那些Bense视频成人内容突然火了起来?是不是觉得有点好奇,又有点害羞?别担心,今天我就来给你揭秘这个话题,让你对这个现象有个全面的认识。一、Bense视频成人:究竟是什么?首先,得先弄清楚什么... admin2026-02-2248 阅读0 评论
成人旗袍模特视频大全,成人模特演绎旗袍魅力全览 你有没有想过,当古典与现代相遇,会擦出怎样的火花呢?今天,就让我带你走进一个充满韵味的世界——成人旗袍模特视频大全。这里,不仅有旗袍的华丽,还有模特们的风采,让我们一起领略这份独特的魅力吧!旗袍,穿越时空的美丽旗袍,... admin2026-02-2253 阅读0 评论
儿歌成人跳舞视频大全,儿歌舞蹈视频盛宴 亲爱的读者们,你是否曾在某个悠闲的午后,无意间在网络上瞥见那些充满童趣的儿歌舞蹈视频,瞬间被那欢快的旋律和可爱的动作所吸引?今天,就让我们一起走进这个充满童真与活力的世界,探索那些让人忍不住跟着摇摆的儿歌成人跳舞视频... admin2026-02-1642 阅读0 评论
自制连衣裙 成人教程视频,成人连衣裙制作教程视频概述 亲爱的你,是不是也梦想着亲手制作一件独一无二的连衣裙呢?想象穿上自己制作的裙子,走在街头,那感觉是不是超级酷炫?别急,今天就来带你一起探索自制连衣裙的奇妙世界,跟着教程视频,一步步成为时尚达人!一、挑选材料,准备工具... admin2026-02-1641 阅读0 评论
加工成人秋裤视频大全,视频大全带你领略时尚保暖新潮流 你有没有发现,最近网上突然流行起了一个特别有趣的话题——“加工成人秋裤视频大全”!没错,就是那种把普通的秋裤穿出时尚感的视频,简直让人看了停不下来。今天,就让我带你一起走进这个奇妙的秋裤世界,看看这些视频是如何让秋裤... admin2026-02-1529 阅读0 评论
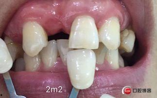
成人牙缝修复方法视频,成人牙缝修复方法视频深度解析 你有没有发现,有时候牙齿之间的小缝隙,就像生活中的小插曲,让人有点烦恼呢?别急,今天就来给你揭秘成人牙缝修复的方法,让你轻松告别牙缝尴尬,笑得更加自信!牙缝修复,先来了解一下牙缝的“前世今生”你知道吗?牙缝的形成,有... admin2026-02-1528 阅读0 评论
成人攀比心视频在线观看,视频解析背后的心理真相 揭秘成人攀比心:视频在线观看,看透人心百态在这个信息爆炸的时代,网络视频成为了我们了解世界、放松心情的重要途径。而其中,成人攀比心的视频更是吸引了无数人的目光。今天,就让我们一起走进这个奇妙的世界,通过在线观看这些视... admin2026-02-1450 阅读0 评论
成人舞蹈红色裙子视频,致敬时代风采——成人舞蹈风采展示 你有没有发现,最近网上突然流行起了一种特别的舞蹈视频,那可真是让人眼前一亮呢!没错,就是那些穿着红色裙子,翩翩起舞的成人舞蹈视频。今天,就让我带你一起来揭秘这个现象背后的故事吧!红色裙子的魔力你知道吗,红色裙子在舞蹈... admin2026-02-1455 阅读0 评论
成人衬衫缝纫视频教程,成人衬衫缝纫教程视频概述 你有没有想过自己动手制作一件独一无二的衬衫呢?想象穿上自己亲手缝制的衬衫,那种成就感简直无法言喻!今天,就让我带你走进成人衬衫缝纫的世界,通过一系列的视频教程,让你轻松掌握这项技能。一、选择合适的材料在开始缝纫之前,... admin2026-02-1141 阅读0 评论
祖国题材朗诵成人诗歌视频,深情朗诵,共筑家国情怀 亲爱的读者,你是否曾在某个静谧的夜晚,被一首诗歌的韵律所打动,仿佛那字里行间跳跃着祖国的脉搏?今天,就让我们一起走进一个特别的领域——祖国题材朗诵成人诗歌视频,感受那些穿越时空的音符,如何唤醒我们对祖国的热爱与敬仰。... admin2026-02-1141 阅读0 评论